Archives: General Info & Knowledge
Empower yourself with knowledge. Find answers to common questions, learn dental terms, and get helpful tips for maintaining lifelong oral health.
Why Is My Retainer Loose? Causes, Solutions & When to Replace
Your retainer used to fit snugly—but lately you’ve noticed it feels a bit loose. You’re wondering what’s going on—whether it’s normal—and what you should do...
1 Comment
Does Invisalign Dry Mouth Go Away? Your Complete Relief Guide
Your Invisalign treatment has started—and you’re excited about straightening your teeth. But there’s one thing you didn’t expect: your mouth feels really dry. You’re wondering...
Can I Drink Iced Coffee with Invisalign? Your Complete Coffee Guide
Coffee is a daily must for many people—and when someone starts Invisalign treatment, they often ask the same question: can I still enjoy my iced...
How Long to Wear Invisalign Retainer? Complete Guide to Keeping Your Smile Forever
Your Invisalign treatment is complete—congratulations! But here’s the thing you need to know: your retainer journey is just beginning—and this is when many patients make...
What is a Flipper Tooth? Your Guide to Quick and Affordable Tooth Replacement
You lost a tooth—maybe yesterday, maybe last week. Now there’s an empty space in your smile—and you’re wondering what to do next. This situation is...
1 Comment
What Are Dentures Made Of? Understanding Your Denture Materials
Ever wondered what your dentures are actually made of? Most people don’t think about it—until they notice differences in comfort, durability, or appearance. Here’s the...
Cheapest Options for a Missing Tooth: Budget-Friendly Solutions That Actually Work
A missing tooth isn’t just a cosmetic issue—it affects how you eat, how you feel about yourself, and honestly, your wallet. Dental work can be...
Dental Implants Without Fake Gums: Get That Natural Smile You’ve Always Wanted
So you’re thinking about getting a dental implant. But here’s the thing—you’re worried it’s gonna look fake, right? Like those obvious artificial gums you see...
Titanium Teeth: The Gold Standard in Dental Implants
You’re thinking about getting a dental implant, and you’re wondering—what material should I choose? The good news is that titanium has been the answer for...
Can You Remove Dental Implants? Everything You Need to Know
Many people worry about what happens if their dental implant causes pain or doesn’t fit right. It’s natural to wonder if these implants can be...
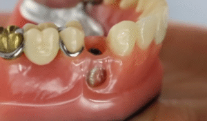
Bone Graft at Time of Implant Placement: Saving You Months and Keeping Your Smile
You’ve lost a tooth, and your dentist mentions you might need a bone graft. But here’s the good news—you might not have to wait months...
What Is Braces Bonding? Understanding the Process Behind Your Orthodontic Treatment
Ever wondered what braces bonding actually is and why it's so crucial to your orthodontic treatment? This essential process involves attaching brackets to your teeth...
